症例032
解説
リハビリ目的で入院中の女性患者さんに排尿後の出血、排尿前後の違和感が出現しました。レボフロキサシンでは改善せず、泌尿器科を受診しました。
ここまでの情報で、ある程度のストーリーが想像できるでしょうか。複雑性尿路感染を疑うべきであり、代表的疾患である結石を第一に考えます。この患者さんでは結石を形成しやすい因子が存在していそうです。骨折のために長期臥床していたと思われますし、手術で尿道カテーテル留置を受けていたかもしれません。
初発の症状である出血も、排尿時痛や違和感を伴わず出現している点も、単なる膀胱炎の出血では説明しにくいところであり、何らかの疾患の合併を疑うべきでしょう。
経過
初診を担当した医師は、耐性菌の関与を疑い、尿培養を提出した上でセフジニル(セフゾン)を開始しました。尿培養の結果はMRSE(耐性表皮ブドウ球菌)でした。
3週間を経過した時点でも改善が無かったため、八味地黄丸の内服に変更し、加えて膀胱鏡が予約されました。
八味地黄丸に変更して3日後に、パッドへ出血があり、さらにその3日後に再度リハビリ科から依頼があり、泌尿器科再診しています。
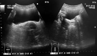
尿路結石の関与を疑い腹部エコーを行いました。腎臓には異常所見は認めませんでした。
腹部エコー

膀胱内にも結石は認めませんでした。
血尿では無くパッドへの出血を来していますので、女性ではまれですが尿道結石を疑います。
エコー

よく観察すると尿道にシャドウを引く高輝度のものが映ります。尿道の高輝度像は偽陽性も多いためこれだけで自信をもって女性尿道結石と言い切るのは多少不安があります。
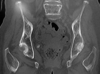
幸い当院リハビリ科に転院時に骨盤骨のCTが撮影してあり、そこに結石が映っていました。
CT(骨条件)


結石の形態は、ちょうど尿道カテーテルのバルーンに付着した結石を考える形です。
本人に確認したところ、尿道カテーテルは入院後すぐから3週間使用していたと言うことでした。
もともと膀胱鏡が予約されていたので、そのまま膀胱鏡を待つことにしました。
膀胱鏡(硬性鏡)

尿道内に結石が引っかかっており、膀胱内へ押し戻した後に、膀胱鏡の外筒から流出させることで、結石を摘出しました。その後、すみやかに症状や尿検査所見は改善しました。