症例003
解説
脳梗塞と糖尿病の既往がある患者さんが、比較的急性の排尿困難を契機に尿閉を指摘されています。このようなケースでは、尿閉の原因として何を疑うべきでしょうか。詳しく患者さんや家族に話を聞きましたが、排尿困難が出現した前後で、排尿以外には変わった症状や特別な行動はなかったとのことでした。前立腺は小さく、前立腺肥大症が尿閉の原因となっている可能性はやや低いと思われます。尿閉の原因が不明であることも多いのですが、何らかの神経疾患の症状である可能性も否定できません。そこでUDSを予定することと平行して、神経内科への診療依頼を行いました。
UDS(PFS)

UDS(voiding phase)

1. 記録状況 EMGがまったく反応していない事を除き、比較的良好に計測が出来ています。Pdetが時々下がっていますが、これはPabdが時々上がっているためで、直腸の収縮が測定されています。
2. 蓄尿期 capacity 340ml compliance 良好 DO 240ml注入時点でわずかにPdetの上昇があります。DOの診断基準は満たしませんが、DOが病態としてはあるがそれが検出できていない、という可能性があります。 尿意 FD、ND、SDと立て続けに訴えています。正常とは言いがたいパターンです。
3. 排尿期 Qmax 排尿は出来ていません。 Pdet 排尿指示の後に排尿筋収縮が見られています。Pdetの最大値は25cmH2Oほどです。腹圧をかけていますが排尿できませんでした。 DU 排尿できずPdetが25ですのでノモグラムではDU+となります。 BOO 排尿ができていないので判定できません。
UDSサマリー DO不明 DU+ BOO不明
患者は尿意を感じ、排尿をしようと試みますが、膀胱は収縮を始めるものの、十分な収縮力をだせず、排尿ができません。患者は排尿困難を感じて近医を受診しており、UDS所見と病歴が一致します。よって尿閉の原因に急にDU+となる疾患を想定したくなるのですが、膀胱の収縮力低下は、尿閉による一時的な膀胱機能の低下のためかもしれませんので、UDSからは診断を絞り込めません。ですが、排尿を開始しようとして排尿筋収縮を引き起こすことが出来るだけの、排尿機能があるということが分かりました。よってDUが回復すれば排尿が出来るようになるかもしれません。
その後神経内科の診察が行われ、神経所見はとくに以前と変化がないとのことでした。念のために脳MRIが撮影されました。
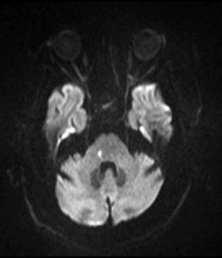
MRI DWI

後頭葉、側頭葉に古い脳梗塞があります。脳幹部にDWIで高信号を示す病変が認められました。この部位は橋排尿中枢(PMC)と言われている部分です。よって、脳幹梗塞による神経因性膀胱と診断されました。橋排尿中枢が障害されていれば排尿ができなくて当然と考えたくなりますが、では排尿が出来ないのは、DUだけで説明できるのでしょうか。尿道括約筋の弛緩が出来ないのかもしれませんし、すでに脳幹梗塞の影響は消失し尿閉による膀胱過拡張のためのDUだけが残っているのかもしれません。実際のところはよく分からないと思います。
神経内科では以前より行われている脳梗塞の予防投薬を継続する方針となりました。さて、泌尿器科では今後はどのように治療を進めていくべきでしょう。
脳幹梗塞による排尿障害という観点からこの方の排尿の予後を予測することは難しいかもしれません。UDSの結果からは、確実にとは言えませんが排尿筋収縮力が回復すれば自排尿が可能となるかもしれないと考え、間欠導尿で回復を待つ、という方針としました。
結果、退院1ヶ月で自排尿が回復し間欠導尿を離脱しました。
なお、この症例は第244回日本泌尿器科学会東海地方会において報告をしました。