MRCトレーナー矯正を考えている方へ(ファーストカウンセリング 無料説明)
MRC矯正は、ブラケット矯正と異なり本人のやる気や家族の協力が必須となります。そのため、必ず下記の内容を把握した上で、ファーストカウンセリング(無料説明)を受けられることをおすすめしています。
ファーストカウンセリング(無料説明)を受ける際は、必ず電話にて「MRC矯正の無料相談を希望」とお伝えしていただき、予約をお取りください。

MRCトレーナー矯正を行う前に
当院では20歳まで永久歯のう蝕ゼロを目標とさせていただいています。そのため、「歯並びをキレイ!」にというだけの考えは捨てていただき、う蝕ゼロで健康的な歯や口でいられるように考えていただきたいのです。
定期的な歯面清掃やう蝕の唾液検査なども随時行うことが必要となります。

MRCトレーナー矯正とは
MRC(Myofunctional Research Co.)とは、トレーナー装置というマウスピース型の矯正装置を使いながら、ロの周囲の筋肉トレーニングをして子供たちの不正咬合(乱れた歯並び)を早期に治療するシステムです。
不正咬合の原因となる舌癖やロ呼級などの悪習癖を治すことで、本来の正しい歯並びにしていきます。 また、呼吸を改善することは歯並びだけでなく健康面においても大きなメリットがあります。
そのため、MRC矯正において絶対的に欠かすことができないアクティビティ(舌と唇、呼吸パターンを改善するために選定された口と呼吸の練習)を行っていかなければなりません。
MRCトレーナー矯正とブラケット矯正の違い
6~8歳頃になると、子供の歯並びが悪いことに気づくことが多いと思います。しかし、歯科医院の中には、すべての大人の歯がはえて、顎の発育が終了するまで治療を待つことをすすめる先生もいます(当院も3年前までそうでした)。その結果、ブラケット治療や抜歯をしてスペースを作る矯正治療しか選択できなくなります。
ブラケット矯正は、各歯にブラケットという金具を付け針金を通し、力をくわえて歯を並べる矯正治療です。歯が並ぶスペースがない場合は歯を抜いてスペースを確保することもあります。また、歯並びを悪くした原因を直していない子の治療は、きれいに並んだ後も再び乱れることがないようにリテーナー(保定装置)を必要とします。ブラケットを装着したり、リテーナーを装着することによりう蝕になりやすくなることも否定できません。

一方、MRCトレーナー矯正は、歯並びを悪くした原因を取り除く矯正治療です。正しい舌の位置、間違った筋肉の使い方の改善、正しい呼吸の仕方を身に付けます。原因を取り除くので、矯正終了後も後戻りがほとんどありません。筋肉が変わっていくので顔立ちも変わっていきます。また、鼻呼吸を身に付けることで健康的で強い身体を獲得することができます。
悪くなった歯並びの原因とは
以前は、歯列不正の原因は、大きな歯と小さな顎のアンバランスによるもので、遺伝的な問題があるとの考えから治療を先延ばししたり、永久歯を数本抜歯してからの矯正治療をするというものでした。
しかし、最近の研究では筋肉の機能の不正として知られている口呼吸・舌の癖・異常嚥下が顎の発育不良の真の原因として明らかになっています。
1.口呼吸
口が開いていると舌は必ず下顎に落ちています。舌の正しい位置は上顎です。間違った舌の位置は、口呼吸や逆嚥下を起こし歯並びを悪くします。

2.間違った嚥下
飲み込む時に舌が前に突出したり、口の周りにグッと力が入る飲み込み方(逆嚥下)は間違った嚥下です。舌や唇にはとても強い力があります。間違った嚥下を毎日繰り返すことで、歯並びにも影響が出てきます。正しい嚥下は、舌が上顎に吸い上がったまま、口を閉じ口の周りの筋肉が動かない飲み込み方です。
3.指しゃぶり、態癖(ほおずえ、寝方、片噛み)
指しゃぶりやほおづえ、片側のみで食物を噛む、態癖(横向き、うつぶせ寝)なども影響を与え、顎と顔の正常な発育を妨げます。


MRCの大きな3つの特徴
1.(永久歯の)抜歯はしません!
2.ブラケットは使用しません!
3.治療終了後の保定装置は使用しません!
★そして元気な顔立ちへ!!!★
MRCトレーナー矯正をお考えの方へ(MRCの注意点)
注意点として以下の4つがあります。これができない方はMRCトレーナー矯正はできません。
1.本人のやりたいという意思!(そのため6〜7歳が開始適正時期)
2.日中1時間、就寝中トレーナーの装着!
3.1日5分程度のアクティビティ!
4.家族みんなの協力!

MRCトレーナー矯正の3つのプログラム
1.トレーナー
日中1時間、就寝中のトレーナー装着が必要です。

2.アクティビティ(ペース、ポッピング、あいうべ体操など)
姿勢、呼吸、嚥下といった筋機能の訓練を毎日5分程度を行うことが必要です。
※トレーナーとアクティビティはきちんと行った日はMRC専用ファイルの資料にシールを貼っていただきます。

3.拡大装置(BWS、バイオブロック)
歯列を拡大する装置ですが、他の装置を使用する場合もあります。また、ごく少数ですが、装置を使わない方もいます。
1)BWS(前方拡大):当院の症例

2)バイオブロック(前・側方拡大):当院の症例

なぜ、トレーナを使いながらアクティビティをするのでしょう?
よく誤解されることですが、トレーナーを口に入れていたら自然に歯並びがよくなると思われている方がいるのですが、それだけでは歯並びが良くなるわけではありません。トレーナーだけでは、鼻呼吸、正しい舌の位置、正しい嚥下を身につけることは難しいのです。
今までの間違った筋肉の位置、使い方を改善し、鼻呼吸を獲得することによりキレイな歯並びが結果として得られるのです。
筋肉は怠け者です。毎日正しい位置や使い方を練習しないとすぐに筋肉は間違った使い方に戻ります。そのため、ピアノなどのレッスンと同様に、毎日練習(アクティビティ)をしないと正しい習慣を身につけることはできません。
呼吸プログラム
歯並びを悪くする最大の原因ともいえる「口呼吸」を「鼻呼吸」に1日も早く切り替えていただくため、MRC導入初期の段階から呼吸プログラムを導入しています.カプノトレーナーという二酸化炭素濃度や呼吸数を測定する装置により種々の条件下で鼻呼吸にするトレーニングをするというものです.
当院では,MRCの患者全員に呼吸プログラムを行っています.

治療開始までの流れと治療期間
1.治療開始までのおおまかな流れ
1)1回目のカウンセリング(無料説明)を行います。ただし、う蝕などの問題がある方はその前に治療を行います。
2)1回目のカウンセリングにてMRCの検査を希望する場合は、MRC検査に移行します。
3)MRC検査は、口腔内撮影、顔貌写真撮影、全身撮影、MRC用の問診、カプノトレーナーによる呼吸検査などを行います。
4)2回目のカウンセリングにて、MRC検査の結果を説明し、患者となるお子様と家族の方の同意が得られたらMRCトレーナー治療を開始します。
2.治療期間
治療期間は、約2年です。
現在の成長の過程でアクティビティがすべて終了し、その結果として歯列が改善されたら、いったん治療は終了ですが、その後は3か月毎に経過観察をしていきます。なお、大人の歯がある程度生えそろう中1くらいまではトレーナーを装着していただきます。
費用(詳細は無料説明の際に説明させていただいています)
1.検査費用
40,000円
2.歯の萌出段階により費用は異なります(年齢が高くなるとMRC矯正も難しくなります)。
※以下の費用は、年齢的な概算です(実際には歯の萌出段階で費用は決まります)。
・5~7歳:350,000円~
・8~10歳:400,000円~
・11~13歳:450,000~
3.毎月の処置料(装置のセットやアクティビティなど)
5,000円
※う蝕治療や乳歯の抜歯などの治療は含みません。
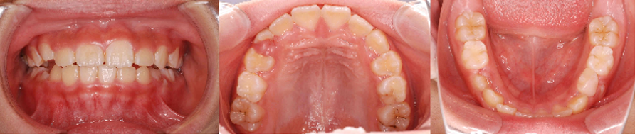
当院の症例
1.8歳女児の症例
トレーナー(K1)とアクティビティをほとんど皆勤賞で頑張っている子です。家族みんなに協力していただいているため、わずか5ヶ月でここまできました。なお、途中BWS装置により2ヶ月間前方拡大を行っています。
今後、嚥下などのアクティビティが残されているため、アクティビティを完結させるとこまで目指しています。

初診時

半年後